新生入学体检与新冠疫苗接种冲突了,如何办?权威解答!
河南省已启动12-17岁的青少年新冠病毒疫苗接种,在这群孩子当中,因为入学需要完成结核菌素皮肤试验(TST),家长们就有了一些焦虑,他们之间有没有什么冲突?需要间隔多久?
为什么入学新生
要做结核病筛查?
目前结核病仍是危害我国人民群众健康的重大传染病之一,肺结核主要是经呼吸道传播,传播途径容易实现,在人口密集的学校,如有传染源存在,处理不及时极易造成传播和流行,会给学校的教学带来极大影响,并对患者师生的身心造成极大危害。
根据国家《学校结核病防控工作规范(2017版)》要求学校按有关规定将结核病检查项目作为新生入学体检和教职员工常规体检的必查项目,无论是初中、高中还是大学的入学新生,在入学一个月内要做胸部X光片检查,以期早期发现肺结核患者,避免传染给其他的同学。

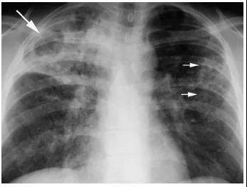
肺结核的X线影像表现图片来源:医脉通
对初一和高一的新生来说,还要做另一种检查--结核菌素皮肤试验,看是不是已经感染了结核病的致病菌--结核菌,然后采取相应的措施,避免发病。

结核分枝杆菌的微观视图图片来源:拍信创意
什么是结核菌素皮肤试验?
结核菌素纯蛋白衍生物(缩写PPD),是从结核杆菌培养、滤液中获得的活性物质,其主要成分是蛋白质。结核菌素皮肤试验就是将PPD经皮内注射后,对已受结核菌感染或曾接受过卡介苗免疫的机体,能引起特异的皮肤变态反应。
当新冠疫苗遇到结核菌素皮肤试验
今年的入学新生还要接种新冠疫苗,同学和家长们不禁要问了:这两种针能同时打吗?
别着急,权威答案来了。
近期,中国疾控中心就该问题组织专家进行了讨论研究,建议如下:
一、根据结核菌素皮肤试验、新冠病毒灭活疫苗、重组新冠病毒疫苗接种的免疫学机理和既往工作经验,并参考国际上的相关建议,目前还没有证据表明结核菌素皮肤试验与这两种疫苗同时注射,或间隔不同时间注射,对结核菌素皮肤试验结果、两类疫苗的免疫反应及安全性产生影响。
二、从操作实施角度,考虑结核菌素皮肤试验后阳性结果的判定需要2-3天时间、结核菌素皮肤试验和新冠病毒疫苗接种后不良反应监测的需要,结核菌素皮肤试验和新冠病毒灭活疫苗、重组新冠病毒疫苗(CHO细胞)接种之间可间隔7天以上。
三、结核菌素皮肤试验和重组新冠病毒疫苗(5型腺病毒载体)间隔建议在4周以上。