年近七旬大爷突发腹主动脉瘤 郑州一院专家团队携手成功“拆弹”

凌晨时分,一通急诊电话,让本来忙碌的郑州市第一人民医院SICU(外科重症监护室)弥漫着更加紧张的气氛。
“王德昌医生,马上送来一个腹主动脉瘤的患者。请准备床位、抢救设备,准备抢救。”
年金七旬的患者王大爷,因突然肚子疼就诊于社区医院,接诊医师根据症状及检查结果,考虑腹主动脉瘤可能,病情危重,立即联系救护车转运至郑州市第一人民医院。

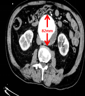
CTA显示:腹主动脉明显直径已达82mm(正常直径11-25mm)

水管状的血管已经变成了“大萝卜”
患者到院 CTA显示:患者腹主动脉巨大动脉瘤,直径>80mm,随时有破裂的风险,一旦腹主动脉瘤破裂,患者随时会出现失血性休克,甚至死亡。
SICU王德昌医生立即给予患者深静脉、动脉置管、降压、输血等抢救治疗,并与患者家属沟通病情,建议手术治疗,患者家属商议后,同意行“腹主动脉腔内隔绝”介入治疗。


血管造影“人”字形支架放入血管

术后复查效果好
SICU医护人员立即完善术前准备,胸外科李凯主任团队凭借着丰富的经验和熟练的技术,从容地进行手术,麻醉科许少华医师保驾护航,顺利完成手术。
术后患者继续在SICU监护治疗,主治医师王德昌根据患者病情制定一系列切实有效的治疗措施,患者现已顺利脱机拔管。

在外科重症监护室给予加强肺部、肢体康复训练,病情逐渐稳定,现已转至普通病房,继续专科治疗,患者家属对外科重症监护室团队表示衷心感谢,称赞我们是挽救生命的“拆弹专家”。


外科重症监护室主治医师王德昌介绍:
腹主动脉瘤是指腹主动脉管壁永久性或局限性扩张超过正常直径的1.5倍,是一种常见的动脉瘤。
常见症状表现为腹部、腰背部疼痛,多为胀痛或刀割样疼痛,突发剧烈腹痛为瘤体急剧扩张、发生破裂的前兆。
由于腹主动脉瘤并无特殊的临床表现,不易发觉,因此常被忽略,发现时往往已出现破裂先兆。扩张的腹主动脉会慢慢持续增大,就像被吹大的气球,到达一定的直径后,随时有破裂的风险。腹部无痛性、搏动性包块是AAA病人最常见体征。包块通常位于脐周或中上腹部。破裂性AAA病人可表现为腹部或腰背部压痛及失血性休克。一旦腹主动脉瘤破裂,体内短时间大量出血会导致患者休克甚至死亡,研究显示,腹主动脉瘤破裂后死亡率高达90%。
此外,如果不及时治疗,膨大的腹主动脉还会压迫周围邻近器官,例如肠管受压引起肠梗阻,肾脏受压引起肾盂积水。


腹主动脉瘤如何治疗?
目前腹主动脉瘤治疗主要包括传统开放手术和腔内微创手术。经典开放修复术是腹主动脉瘤切除和人工血管移植术。但该手术方式存在创伤较大、手术风险较大、恢复慢及住院时间较长等缺点。腔内微创手术因其具有创伤小、恢复快、住院时间短等优势越来越广泛地应用于临床,已成为首选的治疗方式。该手术方式是将带有一层人工膜的血管支架经小切口置入主动脉内,隔绝动脉瘤腔,解除动脉瘤璧受到的血流冲击,从而保持主动脉管腔通畅,避免血管发生破裂。
日常生活应如何预防?
吸烟会增加腹主动脉瘤风险,戒烟是重要且可被纠正的危险因素,合理控制血压和心率有助于减缓瘤体增长速度,降低病死率。患有高血压、高血脂、动脉硬化的患者需定期体检,注意低盐低脂饮食,控制好血压、血脂,降低发病风险。如出现胸闷、胸痛、腹痛、腰背部疼痛、血压升高等症状,需及时至医院就诊。
郑州市第一人民医院SICU致力于救治外科相关急危重症患者,例如多发伤、复合伤、严重脑外伤、创伤性休克等,同时SICU还是所有手术科室的亲密合作伙伴,为疑难、危重手术患者提供抢救监护治疗,助力患者度过难关,例如此例腹主动脉瘤患者,SICU一经接触患者,立即启动由胸外科、麻醉科、输血科、康复科、营养科组建的MDT诊疗团队,迅速制定了包含术前、术中、术后、康复、营养方面的序贯性精准治疗计划,最终使患者痊愈康复。充分体现出郑州市第一人民医院过硬的业务技术水平和迅速、准确的应急处置流程,以及我院高效的MDT团队协作机制。郑州市第一人民医院将继续努力前行,为全市乃至全省病患提供优质高效的医疗救治服务。
(徐志霞)
